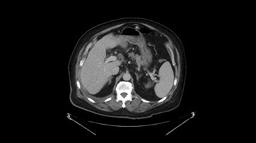
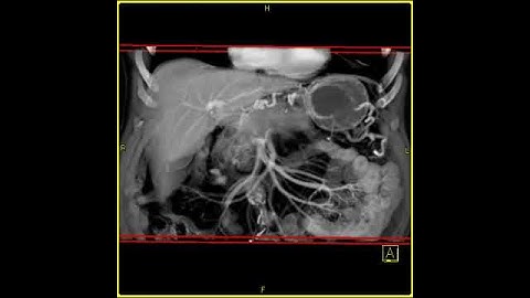
AUTOMATIC SEGMENTATION OF PANCREAS AND PANCREATIC TUMOR USING DEEP LEARNING

Tonton & Download Video Musik Gratis

⬇ DOWNLOAD NOW
Jika muncul iklan pop-up, tutup lalu klik tombol kembali

Download lagu AUTOMATIC SEGMENTATION OF PANCREAS AND PANCREATIC TUMOR USING DEEP LEARNING secara gratis hanya untuk keperluan promosi. Dukung artis favorit kamu dengan membeli musik original di iTunes atau platform resmi lainnya.