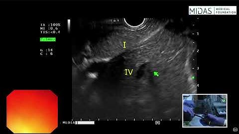
EUS For Beginners with Dr. Saurabh Mukewar Part - B

Tonton & Download Video Musik Gratis

⬇ DOWNLOAD NOW
Jika muncul iklan pop-up, tutup lalu klik tombol kembali

Download lagu EUS For Beginners with Dr. Saurabh Mukewar Part - B secara gratis hanya untuk keperluan promosi. Dukung artis favorit kamu dengan membeli musik original di iTunes atau platform resmi lainnya.